首 页
医院概况
医院简介
医院领导
医院环境
医院荣誉
新闻中心
医院公告
医院动态
外媒报道
政策解读
医院文化
院徽
院歌
愿景 院训
医院文化
职工之家
科室介绍
内科
外科
临床其他科室
医技科室
门诊类科室
清风社区卫生服务中心
急诊科
专家介绍
先进设备
精湛技术
就医指南
科室电话
地理位置
住院楼索引
门诊示意图
住院须知
联系我们
医患之声
健康宣教
书记信箱
临床试验
临床试验机构
临床试验伦理委员会
您现在的位置:
主页
>
精湛技术
> 15岁孩子竟然脑出血!医生往脑袋里打胶水救命
15岁孩子竟然脑出血!医生往脑袋里打胶水救命
发布于:2020-09-15 17:13 文字:
【大】
【中】
【小】
今年5月份,我院神经外二科来了一位特殊的脑出血患者,脑出血在我们的印象里都是老年人发生的事情,而这位患者却仅有15岁......
今年刚满15周岁的小雷,这天正在家上网课,突然右侧肢体动弹不了,家人急忙带小雷到我院神经外二科就诊。
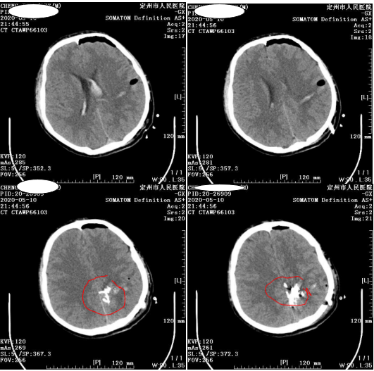
接诊医生为小雷急查头颅CT,并请神经外二科主任肖都盼会诊,肖主任查体发现小雷右侧肢体偏瘫,不仅精神差,还伴有嗜睡症状,肌力1级,头颅CT结果显示小雷左顶枕叶脑出血破入脑室系统,出血量约50ml。
根据小雷其他检查结果,肖主任得知小雷为O型血RH阴性,就是大家口中常说的罕见的“熊猫血”,继续向家属询问病情,得知小雷曾经有过头痛病史,当时检查头颅CT并未发现问题,后来不头痛了,家长也就没有在意。
肖主任告诉小雷父母,孩子现在脑出血,高度怀疑是脑血管畸形破裂出血引起,病情非常凶险,可能还会恶化甚至危及生命,需要进行脑血管造影术(
DSA
)
进一步明确出血原因,然后再决定下一步治疗方案。
小雷妈妈一听要手术,控制不住情绪急得哭了起来,而小雷爸爸果断决定听从肖主任的方案接受手术。
肖主任带领医生边旭朝立刻到导管室做手术准备,很快急诊脑血管造影(
DSA
)
开始,肖主任通过影像发现小雷左顶部动静脉畸形团约3
cm
×1.5cm大小,可见左侧大脑前动脉末端供血,及两根粗大引流静脉引流至上矢状窦。
出血位置顺利找到。
肖主任反复查看脑血管造影,并结合小雷整体情况,与科内医生讨论决定为小雷先介入栓塞动静脉畸形团,根据经验这种情况下只有10
%
-20%的机会能经过介入完全栓塞,如果剩下还有,那就要开颅清除颅内血肿。
如果直接开颅清除血肿并切除动静脉畸形团,手术风险会很大,动静脉畸形切除术中出血较多不易止血,小雷又是“熊猫血”,风险将倍增。而先介入栓塞动静脉畸形团,再清除颅内血肿手术,术中出血会少很多。
介入栓塞颅内动静脉畸形团就是在颅内血管内注射胶水把畸形血管团闭塞,但颅内血管畸形团四通八达胶水很难控制,稍微打多了有可能堵塞正常血管,一旦堵塞正常血管,患者就有可能长期昏迷不醒。如果打少了畸形团就会残留,后期会再次出血。
手术医生需要超高的技术及强大的心理素质。向家属交代手术方案后,家属决定先行介入栓塞脑血管畸形团再行开颅血肿清除术,最大程度减少手术中出血。
向家属再次交代病情和治疗方案后手术继续,肖主任熟练地将一个细小的导管送入靠近畸形团的动脉里,
向里面缓慢注射
OYNX18的胶状栓塞剂,打完一支胶后,畸形团缩小,但仍有残留。
打入两支OYNX18胶后小雷颅内畸形团稍有残留。如果继续打胶有可能栓塞正常血管。
肖主任决定将小雷转入手术室行开颅血肿清除术。手术全程出血约200ml,小雷生命体征平稳。
高密度影为胶水显影
术后,小雷神志清楚,语言流利,右下肢肌力1级,左侧肢体肌力5级,复查头颅CT显示血肿基本清除
。
术后一周,小雷转入我院康复医学科进行康复治疗,经过近半个月的康复训练,小雷右侧肢体活动基本恢复正常,顺利出院。
近日,小雷再次入院复查脑血管造影,影像中动静脉畸形团完全不显影。
注意!孩子经常头痛应引起家长重视,应到正规医院检查,早发现、早治疗。
|
医院简介
|
联系方式
|
在线留言
|
Copyright © 2013- 2021
www.dzsrmyy.com
All Rights Reserved. 定州人民医院 版权所有
冀ICP备18014657号-1
办公室电话:0312-2330111 急救中心电话:120 投诉电话:2330117(工作时间)13091220996(非工作时间)
地址:定州市建设街 定州市中兴路116号 河北联网备案:37080221000119