近日,我院中西医结合科成功治疗一位62岁双肺炎症合并右肺中叶不张的患者,经过系统性的中医口服药物治疗,患者的右肺中叶已完全复张,呼吸功能显著改善。
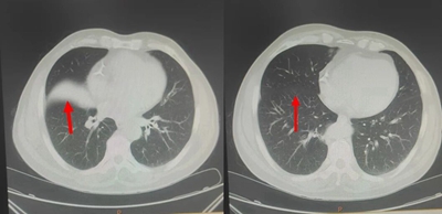
据了解,丁大爷入院前半个月出现反复咳嗽、胸闷气短、活动后加重等症状,辗转多家医院检查后,确诊为“双肺炎症、右肺中叶不张”。虽经抗感染等常规治疗,症状仍未明显改善,肺部影像学检查显示右肺中叶肺组织压缩严重,呼吸功能受到显著影响。为寻求更有效的治疗方案,丁大爷在家人陪同下来到我院中西医结合科就诊。
科主任鲍新民接诊了丁大爷,结合症状、体征及影像学检查结果,认为丁大爷属中医“咳嗽”“肺痿”范畴,核心病机为痰热郁肺、气道壅塞,导致肺失宣降、气机不畅。针对这一病机特点,为其制定了个性化中医治疗方案,以清热化痰、宣肺通瘀为核心治法,开具中药方剂口服。

治疗期间,鲍主任根据丁大爷症状改善情况及时调整方剂配伍。服药一周后,丁大爷咳嗽、胸闷症状明显减轻;两周后,呼吸顺畅度显著提升,可正常活动;复查胸部CT显示,双肺炎症较前基本吸收,受压的右肺中叶肺组织已完全复张。
中医认为肺主气司呼吸,肺气宣发肃降功能失调会导致肺叶萎弱不用。通过清热化痰消除病理产物,同时宣肺通络促进气机通畅,益气养阴修复肺组织,从而达到促进肺组织复张的目的。这一成功案例充分展示了中西医结合治疗呼吸系统疾病的独特优势,为众多患者带来了康复希望。